LightForce 3.0
Evolution. Built together.
Better tools.
More control. Improved efficiency.
EXPERIENCE LIGHTFORCE 3.0 IN ACTION
LightForce Ask the Expert Webinar with Dr. Alexander Waldman
Crafting Custom Smile Esthetics with LightForce

DATE: October 28, 2025

TIME: 8:00 PM ET

LOCATION: Virtual
Introducing LightForce 3.0
With cutting-edge bracket technology and advanced treatment planning powered by precise tooth movement tools, LightForce 3.0 gives you the confidence to deliver exceptional results.
LightForce 3.0 isn't just an upgrade. It's a leap forward in patient care. From the first scan to the new smile reveal, every feature is designed to enhance your treatment plan and deliver unmatched patient comfort.

LightBracket HD


Expanded Tooth Movement Tools


LightTray Innovations


Meet LightBracket HD
Get Your Smooth On

The most refined
bracket we’ve
ever made.

Our LightBrackets got a major glow-up. Engineered from a breakthrough in our proprietary 3D printing process, the new LightBracket HD surface reduces friction, improving sliding mechanics and enhancing patient comfort with its silky-smooth feel.*
68%
reduction in bracket tie wing surface roughness*
Up to a
27%
reduction in bracket slot friction*
85%
of Doctors surveyed stated a noticeable improvement in patient comfort as a result of LightBracket HD.*
*Compared to LightForce's prior bracket design, data available upon request.

“My chairside assistant reported a ‘sleeker appearance,’ and they reported fewer patients returning with soft tissue complaints.”

Dr. Jason Tennison
Tennison Orthodontics
Cleburne, Texas

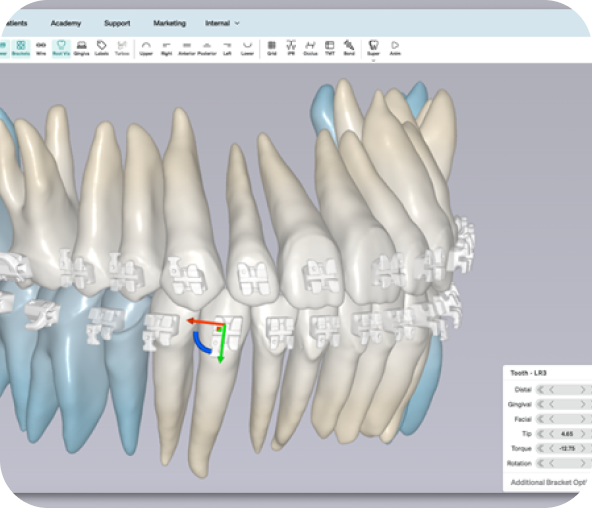
Expanded Tooth Movement Tools
It All Hinges On Control

Hinge Controls
Our most requested feature got a major upgrade.
Keep treatment plans right on schedule. Completely redesigned based on doctor feedback, our new hinge controls are designed to give doctors greater control and more efficiency. They enable precise crown, root, or rotation movements, providing more control in treatment planning to match your vision.

New Tooth Movement Interface
A familiar workflow, fine-tuned for speed.
Spend less time clicking and more time creating treatment plans that deliver outstanding results. We’ve reimagined the tooth movement planning interface to feel faster and more intuitive without sacrificing control.

“I love these features and I feel like this is exactly what we have been waiting for!”

Dr. Tara Gostovich
TG Orthodontics
Marlboro, New Jersey

LightTray Innovations
Built On Strong Bonds
Based on the feedback of our clinical team members, the newest iteration of the LightForce LightTray increases both bond speed and success rates. Posterior trays now feature plier notches and no occlusal rest, designed for a seamless bonding experience.
Plier Notches on Posterior Trays
Easily use pliers when handling posterior trays.

Removal of Occlusal Rest
Experience better tray seating without manual editing.

LIGHTFORCE DOCTOR TESTIMONIALS
Community-Driven
Innovation